Town East Dental Group

Smile Gallery

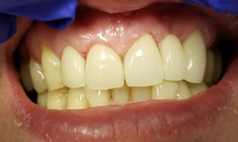
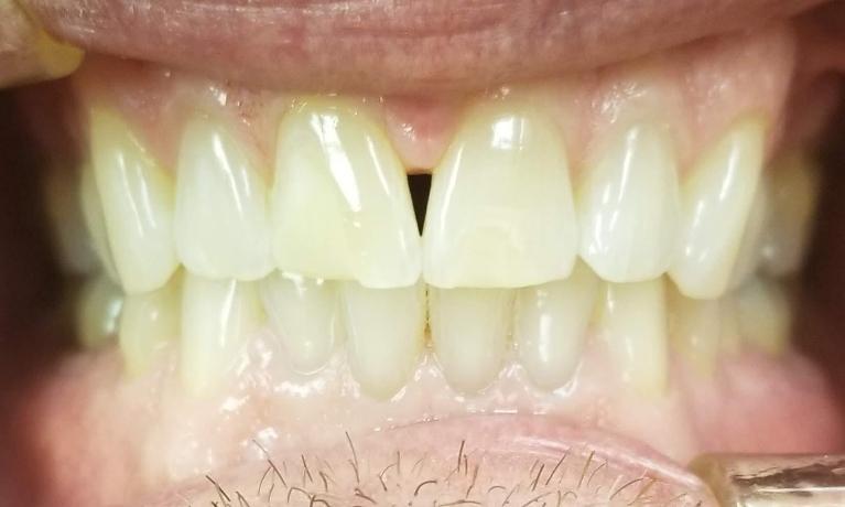
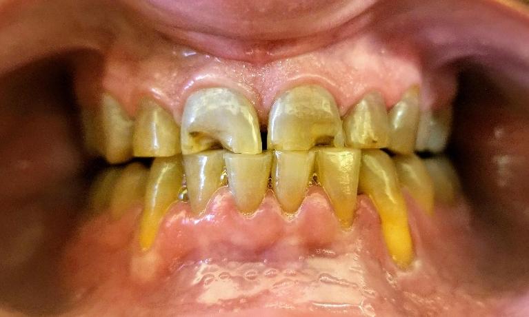
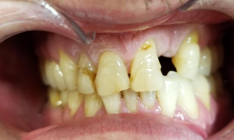
Nothing gives our dental team more pleasure than the delighted reaction of patients when we reveal their beautiful new smile. Please look through our before and after pictures to see what we have accomplished for our patients and what's possible for your smile!

Not finding what you need?
Friendly Staff and Amazing Service

"Our family has been coming to this office for years and love everything about it. From the moment you walk in, your greeted by the awesome staff at the front desk and made to feel right at home. This practice is AMAZING….front desk staff, hygienist and dentist are all so kind, courteous and professional. We recently moved out of the area and still drive back to Mesquite the to see them. We wouldn’t dream of going anywhere else, LOVE this office and could not be happier with the care we receive!" Marlee C.

If you have difficulty using our website, please email us or call us at (972) 270-2911
View the ADA Accessibility Statement
Privacy Policy