Town East Dental Group

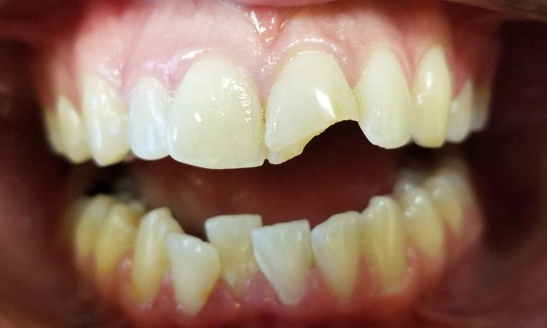
Repair Chipped Teeth

This dental patient walked in to Town East Dental Group with a chipped front tooth. We were able to restore their broken tooth with a composite dental filling and send them away with a big smile. 

Related Services:

Tooth-Colored Fillings
Not finding what you need?
If you have difficulty using our website, please email us or call us at (972) 270-2911
Privacy Policy