Skip to main content
GLO Teeth Whitening
Say Hello to a Brighter Smile!

We offer the state-of-the-art GLO whitening system in Mesquite, TX to achieve brilliant results that will make you want to share your smile!

GLO Teeth Whitening | Dentist
We Have the Solution You Need for a Brighter Smile
Call Today

GLO-Teeth Whitening in Mesquite, TX

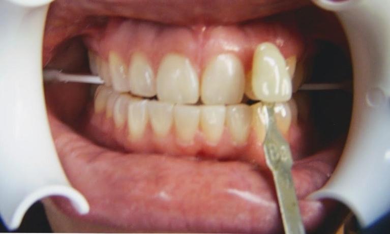
woman with long blonde hair smiling l teeth whitening mesquite txIf you are concerned about the health and appearance of your teeth, we can provide treatments that will deliver effective results. At Town East Dental Group, we choose the GLO whitening system for our patients because it produces brilliant results using an innovative combination of hydrogen peroxide and light activation.

If you decide that teeth whitening is right for you, we can quickly produce excellent results. GLO professional teeth whitening has been proven to whiten teeth by as much as eight shades with either at-home or in-office whitening.

We offer both in-office and take-home whitening treatments for your convenience. If your teeth are sensitive to whitening treatments, Dr. Loera will be happy to talk to you about other options we offer for refreshing your smile.

Discover GLO In-Office Whitening

If you are interested in fast results, our professional in-office whitening is an excellent choice for you because we can achieve dramatic results an hour or less. First, we recommend a professional dental cleaning before we begin whitening. This step removes plaque and tartar from your teeth that can affect the results of whitening and allows for consistent whitening.

Next, we apply the whitening gel to your teeth and activate it with a special curing light. Results will be different for everyone because results depend on your age and the level of staining you have when we start treatment.

GLO Take-Home Whitening Kits

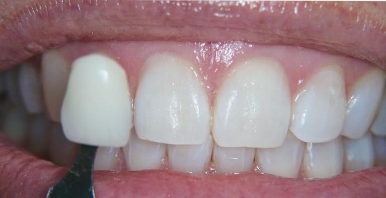
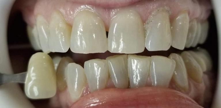
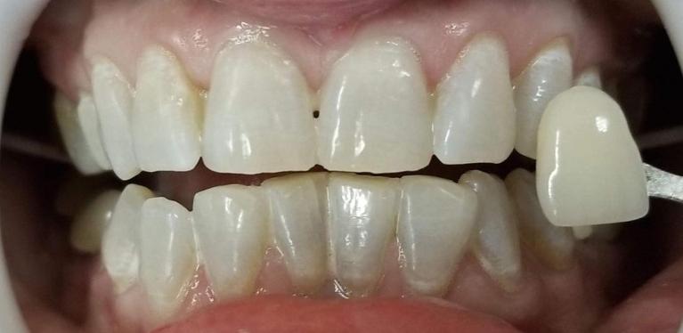
before and after teeth whitening l mesquite dentalAfter your in-office treatment with GLO, you will take home a supply of whitening gel, and the light activator is yours to keep. This allows you to maintain the results of your whitening in the privacy of your own home.

You start by protecting your lips with a specialized balm, then applying the gel to the surfaces of your teeth with a small brush. Then you insert a mouth guard that is attached to the light activator. Use the system for 30 minutes a day to see beautiful results up to five shades brighter.

Call Our Dental Office to Get Started

If you’re looking for a convenient and affordable smile transformation, GLO teeth whitening may be just the solution you’re looking for. It is a popular treatment because it is an easy, affordable way to give your smile a noticeable boost in a short amount of time.

We would like to help you achieve a gorgeous white smile that meets your expectations. You can be confident that we will provide the highest quality treatments in a friendly, welcoming environment.

Everyone has different needs, and after a consultation with Dr. Loera, we can decide together if teeth whitening or another treatment will be more effective. Please contact our Mesquite, TX dental office, and we will be happy to work with you to help you achieve a refreshed, sparkling smile.

Frequently Asked Questions

GLO® stands out from other teeth whitening methods due to its innovative combination of heat and light technology, which delivers faster and more effective results. Unlike traditional whitening treatments that rely solely on whitening gels, GLO's system uses a patented device that accelerates the whitening process by gently warming the gel. This allows the whitening agents to penetrate enamel more efficiently, providing noticeable results in less time.

Another differentiating factor is GLO’s sensitivity-reducing formula. Many whitening methods increase dental sensitivity. However, GLO’s special gel minimizes irritation and makes the whitening process more comfortable for all patients — especially those who struggle with sensitivity or have had discomfort with whitening treatments in the past.

While some treatments require frequent visits to the dentist, GLO provides professional-quality whitening that can be easily maintained at home with a handheld device, ensuring that your smile stays bright with minimal hassle. This combination of in-office and at-home options gives patients the flexibility to illuminate their smiles on their schedules.

Overall, GLO combines technology, comfort, and convenience, making it the preferred choice for many individuals looking for a whiter smile with minimal hassle.

Safe, Effective, and Convenient Teeth Whitening in Mesquite, TX

If you’re in Mesquite and want to learn more about the benefits of GLO Professional Teeth Whitening or any other of our comprehensive range of smile-enhancing cosmetic treatments, contact Dr. RJ Loera and the excellent Town East Dental Group team to schedule a consultation!

While GLO-Teeth Whitening offers safe solutions for brightening your smile, it is generally not recommended for patients under 13 years old. 

Your dentist in Mesquite, TX, offers in-office and customized take-home teeth whitening treatment that delivers proven results with heat and light technology that warms and activates the bleaching gel for exceptional results. 

What to Expect from a GLO-Teeth Whitening Treatment

An in-office treatment at Town East Dental Group with GLO takes about an hour. We'll carefully apply GLO's high-strength whitening gel to your teeth and activate it with light and heat. GLO's unique formula for bleaching gel minimizes the tooth sensitivity often accompanying teeth whitening, ensuring the most comfortable teeth bleaching experience possible. 

Take-home systems include a mouth guard, which is also a light activator you wear after applying the gel to your teeth. The mouth guard protects your gums and soft tissues from exposure to bleaching gel, which could cause discomfort or irritation. 

Would You Like to Learn More about Professional Teeth Whitening in Mesquite, TX?

Your brighter smile awaits! Please reach out to the Town East Dental Group team at (972) 270-2911 to learn more about your options for professional teeth whitening and to book your appointment.   

Teeth whitening is a popular and highly effective way to brighten your smile. However, it’s important to be aware of possible side effects.

The most common side effect is heightened sensitivity to hot, cold, or sweet foods, as whitening agents expose the dentin beneath the outer enamel layer when penetrating tooth enamel to remove deep stains. While professional whitening treatments are generally considered safer than DIY kits, some patients experience temporary discomfort after the procedure. This discomfort usually fades pretty quickly, especially with the use of desensitizing toothpaste or fluoride treatments.

Another possible side effect is gum irritation. Whitening gels, especially those with high concentrations of peroxide, sometimes come into contact with the gums, causing mild irritation or a temporary white appearance. This is more common among at-home users of whitening strips or trays, as professional treatments are administered by dentists who take precautions to protect the gums.

How Do Teeth Whitening Side Effects Arise?

Misuse (typically overuse in pursuit of more dramatic or immediate results) of at-home whitening products can weaken enamel, making teeth more vulnerable to decay. This is why it’s best to follow professional guidance even when using at-home whitening products or, better yet, periodically invest in safer, more effective, and longer-lasting professional treatments — like GLO® Teeth Whitening at Town East Dental Group!

Safe and Effective Teeth Whitening in Mesquite, TX

If you’re looking for an experienced cosmetic dentist in Mesquite to meticulously oversee your teeth whitening treatments, ensuring optimal results and the safety of your enamel and gums, contact Dr. RJ Loera and the excellent Town East Dental Group team to schedule a consultation!

GLO (Guided Light Optics) is a professional teeth whitening system that stands out for its speed, comfort, and effectiveness. Unlike traditional whitening treatments that rely solely on chemical agents, GLO combines a powerful hydrogen peroxide gel with a patented warming LED light. This unique technology accelerates the whitening process while minimizing sensitivity, which is one of the biggest concerns many patients have.

Plus, GLO doesn’t require messy trays or long treatment times. In just a few sessions at your dentist in Mesquite, TX, GLO can whiten your smile by several shades, often with noticeable results after the first visit. There’s also a take-home option for touch-ups, so you can maintain your bright smile on your schedule.

GLO is clinically proven, enamel-safe, and approved for patients with sensitive teeth. The warming light provides even results without the dehydration that often comes with other whitening systems. And, it’s fast—each in-office session takes only about 32 minutes!

What's a Glow-Up without GLO Teeth Whitening?

If you're looking to treat yourself to teeth whitening in Mesquite, TX, GLO offers a modern, comfortable approach that delivers real results with minimal hassle. Contact us to learn more or to book your GLO whitening session today!

You have tooth stains and discoloration and are considering professional teeth whitening, especially after the drugstore gel you bought didn’t work very well. When making this investment in professional teeth whitening, you want to know how long your results will last.

Results with our GLO teeth whitening system can last up to a year or much longer, depending on your lifestyle.

Practical Tips for Teeth Whitening Longevity

To help maintain your new bright smile, we recommend avoiding (or lowering your intake of foods and drinks that can stain and discolor your teeth again, including:

  • Red and dark wines
  • Coffee and tea
  • Bright sauces
  • Curries and berries

(Your dentist can provide a more comprehensive list of foods and drinks to avoid based on your tooth stain type.)

We encourage you to brush and floss after meals or no less than twice each day. Also, see your Mesquite dentist every six months for teeth cleanings. These habits can prevent new stains from forming.

Other tooth-staining culprits include tobacco use and certain medications.

Contact Us for Professional Teeth Whitening in Mesquite, TX

To learn more or to schedule a consultation with the dentist, call us today. We accept CareCredit and Proceed Finance, and we offer an exclusive membership plan.  

Meet Our Doctor:

headshot of dr rj loera l dds mesquite tx

Dr. RJ Loera

Dr. RJ Loera graduated from Baylor College of Dentistry in 2014. He is a member of the Dallas County Dental Society, Texas Dental Association, and American Dental Association. He attended The University of Texas at Austin for his undergraduate studies where he earned a BA degree in Biology. He also won a Best Dentist award in 2025 from D Magazine.

The facet of dentistry he enjoys most is having the ability to directly impact and help his patients to maintain and improve ...

Featured Blog Posts - GLO Teeth Whitening

October 15, 2025

At-Home vs. In-Office GLO® Whitening: Which Option Is Best for You?

GLO in-office teeth whitening treatment in Mesquite, TX. Professional results

A bright, confident smile can have a profound difference in how you look, feel, and interact with those around you. Thanks to advanced GLO® Whitening technology, you now have yet another convenient and highly effective option for achieving a more radiant smile. 

However, we frequently get requests from patients for guidance ...

July 9, 2025

Foods and Drinks That Stain Your Teeth and How to Avoid Them

Close-up of hands holding red wine glasses

You work hard to take care of your smile and keep it healthy; you brush and floss every day, make regular dental visits every six months, and try to eat nutritious foods that won’t cause tooth decay. But despite all your efforts, are your teeth still yellow or dull-looking? If ...

February 16, 2025

Top 5 Reasons to Visit a Cosmetic Dentist for a Confident Smile

reasons to visit cosmetic dentist

A beautiful smile is one of the first things people notice — with a potentially profound effect on how we’re received in social and professional settings. Given this, why settle for anything less than radiance?

A cosmetic dentist can transform your smile, boosting your confidence and leaving a lasting impression. Whether ...

Improve Your Smile with Professional Whitening
Get Started!