You are using a web browser that may not support the design features on this site.
For the best experience, please switch to another browser. We recommend Chrome or Firefox.
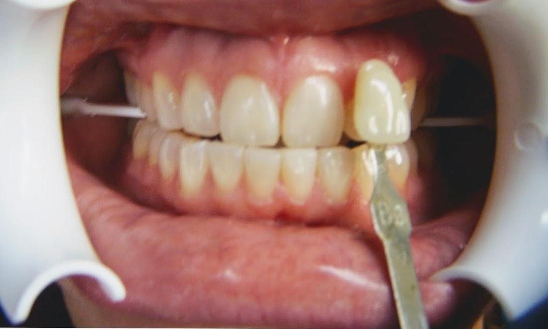
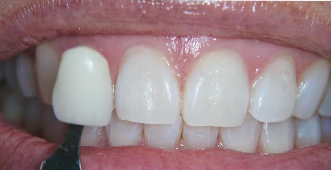
Our in office GLO system was used for this patient to help whiten their teeth before a big wedding weekend.
Thanks - We received your message and someone from our office will be contacting you shortly.