Skip to main content
Tooth-Colored Fillings
We Restore Damaged Smiles

We choose conservative tooth-colored fillings in Mesquite, TX because they improve your oral health and blend naturally with your smile.

Tooth-Colored Fillings | Dentist
Learn about Our Conservative Treatment Options
Call Now to Schedule

Tooth-Colored Fillings in Mesquite, TX

woman in pain holding jaw l dentist in mesquite txAt Town East Dental Group, we know how damaged or unhealthy teeth can weigh you down. They hurt, make it difficult to eat the foods you love, reduce your confidence, and make you want to hide your smile.

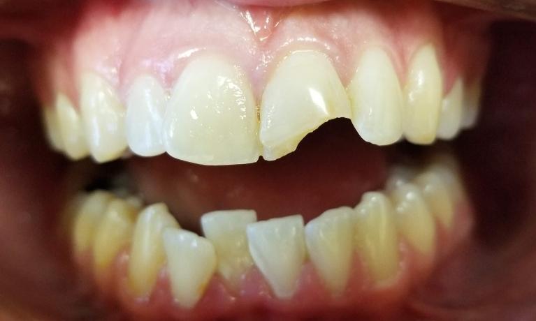
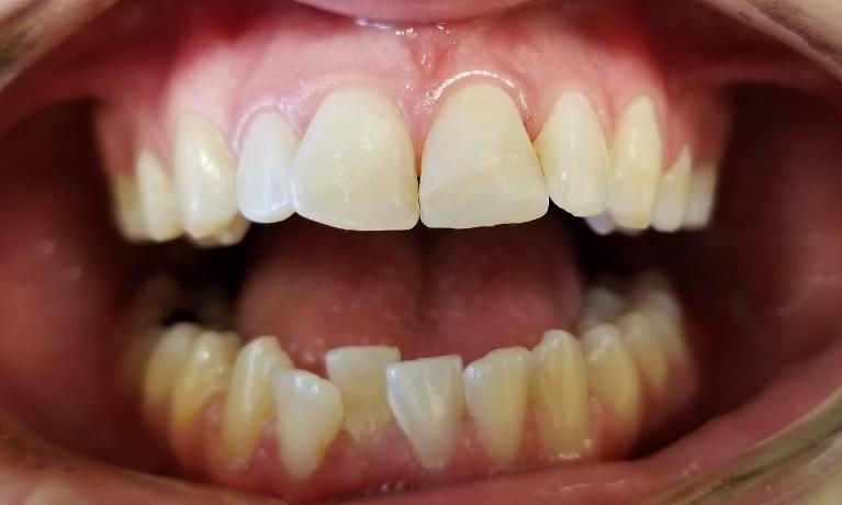
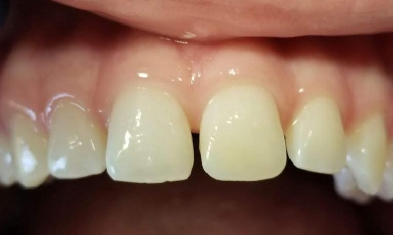
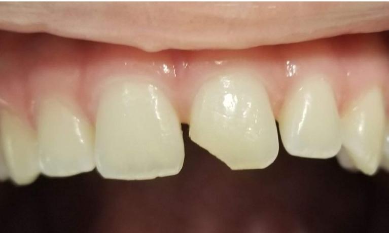
If a tooth gets a cavity, we need to fill it as soon as possible to restore its strength and protect it from further damage. Today, using updated dental materials, we can help you achieve a beautiful, healthy smile without breaking your budget. One cost-effective option for creating beautiful repairs and correcting minor flaws is tooth-colored composite fillings. 

We choose tooth-colored fillings for our patients because they offer the best of both worlds - a treatment that restores your oral health and a method for improving the appearance of your smile. 

Advantages of Tooth-Colored Fillings

Tooth-colored fillings are also referred to as dental composites or composite resins because they are a mixture of tiny glass and resin particles that result in a translucent appearance like dental enamel. We can customize the shade to blend in beautifully with your smile, and the result is a durable repair that even you might not be able to detect!

Some advantages of using composites for making repairs are: 

  • We can customize the shade of the fillings to match surrounding teeth. 
  • Because of the way tooth-colored fillings are applied, we don’t have to remove healthy tooth structure. 
  • The material is flowable and can be shaped to alter a tooth to improve its appearance. 

How We Place Tooth-Colored Fillings

  • woman picking out tooth whitening shade l dentist 75150The first step is to numb the tooth, so you don’t feel any discomfort during the procedure.
  • Once we’re sure you are numb, our doctors will remove the decayed portion of the tooth.
  • Next, we roughen the prepared tooth by using a conditioning liquid to help the material bond to the tooth.
  • Since composites have a consistency like paste, our doctors apply it to the tooth and mold it into the perfect shape.
  • We use an ultraviolet (UV) light that hardens the composite, so it feels like part of your tooth.

We Find Solutions That Work for You

Dr. Loera and our team are proud of the relationships we have with our valued patients. We appreciate the trust you place in us to provide the unique solutions you need to enjoy a healthy smile. We aren’t happy until we know that you are satisfied, and that’s true for every service we provide.

Our doctors and team take the time to get to know you to understand what matters to you and how we can find the solution that best fits all your needs. You are part of the process every step of the way, and we won't recommend any treatment until we know that you understand exactly why you need it and how it will benefit your oral health.

Please Call Us for an Appointment

Whether you currently have a troublesome tooth or you want to ensure your smile is as healthy as it can be, please call Town East Dental Group to arrange a convenient appointment.

An Understanding and Caring Group

The staff was very conscientious and understanding of my anxiety when it comes to dental procedures. They really helped me. I am grateful to have a dental team that is willing to go the extra mile to make me comfortable. Gisel C.

Frequently Asked Questions

Dental bonding is another way to describe a tooth-colored filling. Smaller cavities and chips in teeth are sometimes able to be restored by dental bonding. 

Choosing a tooth-colored filling does more than repair a cavity; it protects your smile’s natural beauty. We match tooth-colored composite resin to your natural teeth, giving you the confidence to talk, laugh, and smile again.

It’s normal to wonder whether daily habits like drinking coffee or smoking will stain your filling. Please keep reading to learn some helpful tips on how to keep your smile looking its best.

Can Tooth-Colored Fillings Stain Over Time?

Unfortunately, your composite fillings can stain over time from dark beverages or tobacco, but there are some things you can do to keep them looking great for many years:

  • Brush and floss your teeth every day to keep stains from building up.
  • Rinse your mouth with water after consuming stain-causing foods or drinks.
  • Use a straw for darker drinks; this will minimize contact with your teeth.
  • Visit your dentist every six months for a routine checkup and cleaning.
  • Avoid using tobacco products, as they can harm your oral and overall health.

Need Tooth-Colored Fillings in Mesquite, TX?

To learn more about how we utilize tooth-colored fillings in our Mesquite dental office, please get in touch with our experienced dental team. We will be happy to assist you with all your oral health needs.

Please contact us at (972) 270-2911.

Meet Our Doctor:

headshot of dr rj loera l dds mesquite tx

Dr. RJ Loera

Dr. RJ Loera graduated from Baylor College of Dentistry in 2014. He is a member of the Dallas County Dental Society, Texas Dental Association, and American Dental Association. He attended The University of Texas at Austin for his undergraduate studies where he earned a BA degree in Biology. He also won a Best Dentist award in 2025 from D Magazine.

The facet of dentistry he enjoys most is having the ability to directly impact and help his patients to maintain and improve ...

A Better Smile is Just a Phone Call Away
Arrange a Consultation