Town East Dental Group

Teeth Whitening

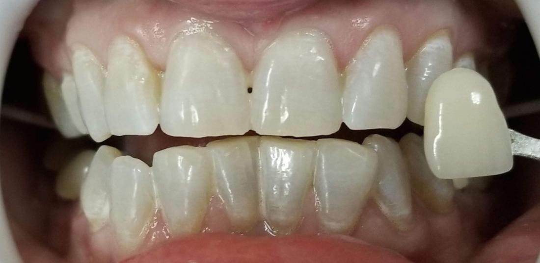
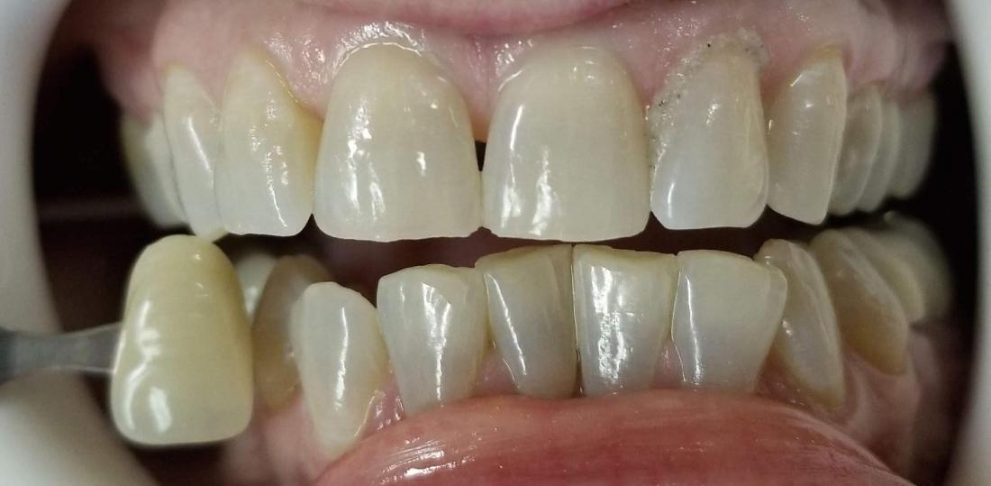
This patient came to us with grey staining on her teeth, in particular around the gum line. Our in office GLO system helped whiten her smile and maintain it at home with the take home kit.

Related Services:

GLO Teeth Whitening
Ready to book an appointment?
If you have difficulty using our website, please email us or call us at (972) 270-2911
View the ADA Accessibility Statement