Dental Crowns & Bridges in Mesquite, TX
When was the last time you smiled comfortably and with confidence? Are you the person in photos who always seems to be unhappy even though you’re not? Do you find yourself covering your smile when you laugh or talk? Have you been bypassing healthy fruits and vegetables because it hurts to eat?
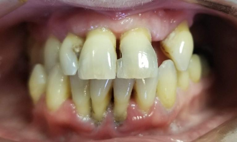
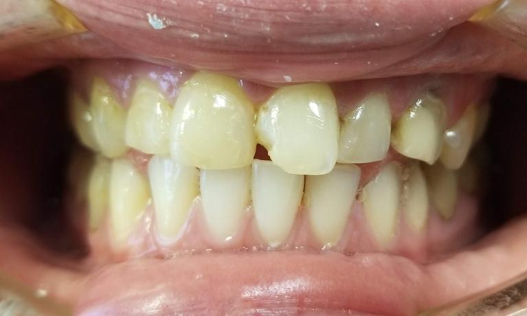
Living with teeth damaged by disease or decay takes its toll on many areas of your life. Broken or cracked teeth can cause our Mesquite patients pain and embarrassment, not to mention that they are vulnerable to tooth decay and infections. It can be challenging to chew and eat with a fractured tooth, which can affect your nutrition and diet.
Of all the issues that broken teeth can incur, patients are mostly unhappy with how their appearance is affected—especially when the missing or cracked tooth is highly visible. Discomfort in your appearance can affect your confidence, self-worth, and personal happiness. Not feeling comfortable enough to smile when you want can impact your joy in ways you may not realize.
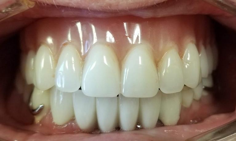
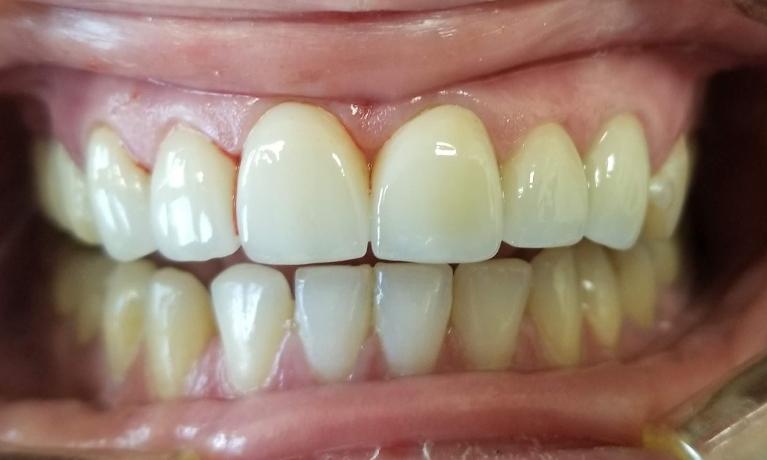
At Town East Dental Group, Dr. RJ Loera has helped many patients achieve a healthier smile with restorations like dental crowns and bridges. Both are restorations, but they perform different functions that restore your quality of life while enhancing your smile. If you have a flawed smile, we can restore it.
- What Is a Dental Crown?
- How We Use Dental Crowns
- Placing Your Dental Crown in Three Steps
- Your Choice of Materials
- What Is a Dental Bridge?
- Please Call to Arrange a Dental Consultation
What Is a Dental Crown?
A dental crown is a porcelain “cap” that covers the entire surface of your weakened or broken tooth. It not only seals your tooth from infection and decay, but it also recreates the look of your tooth and restores your smile to its original glory. At Town East Dental Group, we will go through all your available options and make a professional recommendation. We believe in patient education and active participation in dental health, so we will never pressure our patients, and we ensure they understand their options fully.
Dr. Loera will recommend a dental crown if you have a cavity that is too big for a filling, or a fractured or cracked tooth. Patients can also utilize dental crowns to change the shape and size of their teeth. We will go through all your dental options during your dental appointment to see what treatment is the best plan for your smile.
How We Use Dental Crowns in Mesquite, TX
Dental fillings are essential because they restore the health of your smile. In some cases, however, a tooth is too damaged to be resolved with a dental filling, and Dr. Loera would recommend a strong, durable crown to restore the form and function of the damaged tooth.
Severe damage is a common reason for a dental crown, but there are other cases where a crown would be the best choice:
- Strengthen and protect a tooth after root canal treatment
- Restore function and appearance to a dental implant
Placing Your Dental Crown in Three Steps
The process of placing dental crowns on your teeth takes a couple of weeks, but the results are well worth it.
Step 1: Prepare the Damaged Tooth – We need to alter the size and shape of the damaged tooth to ensure that the crown will fit comfortably and blend with surrounding teeth.
Step 2: Take Dental Impressions – The dental lab that prepares your crown needs a guide, so we take impressions of your teeth that are used to create a model. We send the model along with shade specifications to the lab, and you will leave our office with a temporary crown.
Step 3: Place Your Dental Crown – Patients enjoy the third step in the process because they know they will leave our office with a beautiful dental crown that blends seamlessly with their smile! We remove your temporary and then make adjustments as needed, so the crown fits comfortably in your mouth. Dr. Loera will check for high spots that affect your dental bite, then polish the crown and bond it to your teeth with long-lasting dental cement.
The entire process should be smooth and pain-free. We work closely with patients to ensure that they are comfortable throughout the process; we understand how dental procedures can make some patients nervous. If you feel dental anxiety before any procedure, please let anyone on our caring dental staff know so we can utilize sedation dentistry to keep your stress-free and relaxed.
Your Choice of Materials
Dental crowns can be available in different materials; your Concord dentist may choose your crown depending on the location of the tooth and how much bite function is necessary. Teeth in the front of the mouth may utilize porcelain crowns for their beauty and function.
Dental crowns made of porcelain or ceramic are prized for their natural appearance, making them a popular choice with our patients. But we also offer porcelain-fused-to-metal (PFM) and gold crowns. PFM crowns have an underlayment of metal to add strength, so we typically use them on molars that withstand a lot of chewing force. Gold is the strongest of the materials we might recommend them for molars or if you have a strong teeth grinding habit.
We will share the pros and cons of each and answer your questions, but the final decision about the type of material to use is yours.
What Is a Dental Bridge?
When you are missing a tooth, Dr. RJ Loera may recommend a dental bridge to enhance your smile and restore your lost tooth. Dental bridges are bonded to the dental crowns that are placed on neighboring teeth, creating a “bridge.” Dental bridges are considered a cost-effective and reliable way to restore a tooth and are a popular choice with many Mesquite patients who choose not to pursue dental implants.
If you have more than one missing tooth, Dr. Loera may recommend an implant-supported dental bridge. This dental process can replace multiple missing teeth with just a few dental implants. Many patients enjoy the permanent effect of dental implants and can rest assured that the dental prosthetic will never slip or fall out.
Please Call Us to Arrange a Dental Consultation
Most dental insurance covers at least a portion of the cost of dental crowns or bridges, and before we start any work, Pam, our insurance coordinator, will obtain a pre-treatment estimate, so there are no surprise costs. If you don’t have insurance or want to finance your co-pays our out-of-pocket cost, we will be happy to talk to you about CareCredit interest-free financing that allows you to get the care you need and pay off your balance in smaller monthly amounts.
Teeth can break or fall out for a variety of different reasons, but they can easily be replaced, and your smile and bite function can be restored. We are here to make your life easier and better, and we do our best to make your appearance stunning at the same time. If you are thinking about a dental crown or bridge, you have some decisions to make, but we will guide you through each step of the process.
Please call today at (972) 270-2911 to arrange a dental consultation with Dr. Loera.
